ΥΓΕΙΑ
-
Feb- 2019 -11 FebruaryΥΓΕΙΑ
10 τεράστιες αλήθειες για όσους καπνίζουν στριφτό
Η μειοψηφία που λόγω της οικονομικής στενότητας έγινε πλειοψηφία, είναι η κρεμ ντε λα κρεμ των καπνιστών. Ή τουλάχιστον έτσι νομίζει.1. Η διαφορά ανάμεσα σ’ αυτόν που στρίβει όρθιος με το ένα χέρι και...
Read More » -
11 FebruaryΥΓΕΙΑ
Ρουμανία: 38χρονος Ιταλός παρίστανε τον πλαστικό χειρουργό
Ένας Ιταλός, ο οποίος προσποιείτο τον πλαστικό χειρουργό συνελήφθη από τις ρουμανικές αρχές, καθώς μία γυναίκα που είχε υποβληθεί σε αυξητική στήθους εμφάνισε επιπλοκές.Οι ρουμανικές αρχές συνέλαβαν τ...
Read More » -
11 FebruaryΥΓΕΙΑ
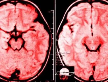
Γκρινιάζετε κάθε μέρα; Δείτε τι παθαίνει ο εγκέφαλός σας!
Τα τελευταία 20 χρόνια χάρη στην ταχεία εξέλιξη της απεικόνισης των ημισφαιρίων του εγκεφάλου και της νευροεπιστήμης μπορούμε να πούμε με βεβαιότητα ότι ο εγκέφαλος είναι σε θέση να κάνει ανασχεδιασμό...
Read More » -
11 FebruaryΥΓΕΙΑ
Γενετιστής του Χάρβαρντ υποστηρίζει ότι βρήκε το ελιξίριο της νεότητας
Ήταν ήταν παιδί, παίζοντας στις τεράστιες εκτάσεις του Σίδνεϊ, ο Ντέιβιντ Σινκλέρ συνειδητοποίησε σοκαρισμένος ότι όλα τα ζωντανά πράγματα, μεγαλώνουν και εν τέλει πεθαίνουν.Αυτό ήταν το σημείο καμπής...
Read More » -
11 FebruaryΥΓΕΙΑ
Άτυπη κατάθλιψη: Συμπτώματα, κίνδυνοι και επιπλοκές
Δείτε τα συμπτώματα της άτυπης κατάθλιψης, καθώς και τις επιπλοκές που μπορεί να προκαλέσει.Κάθε είδος κατάθλιψης μπορεί να σας κάνει να αισθάνεστε λυπημένοι και να σας εμποδίσει σημαντικά από το να έ...
Read More » -
11 FebruaryΥΓΕΙΑ
Νέο «χημικό όπλο» για τη θεραπεία του καρκίνου
Ένα νέο «όπλο» για τη θεραπεία πολλών μορφών καρκίνου έχουν στα χέρια τους οι Βρετανοί επιστήμονες.Σύμφωνα με σχετικό άρθρο που δημοσιεύτηκε στο The Lancet Oncology, επιστημονική ομάδα του Ινστιτούτου...
Read More » -
11 FebruaryΥΓΕΙΑ
Καρδιά: Τα 4 λιπαρά που πρέπει να τρώτε και τα 6 που πρέπει να κόψετε
Είναι γνωστό πως εάν τρώτε πολλά κορεσμένα λιπαρά, τα οποία τείνουν να φράζουν τις αρτηρίες, έχετε πολύ αυξημένο κίνδυνο καρδιακών παθήσεων. Αυτό είναι καλά τεκμηριωμένο.Αλλά το να κόψετε απλά αυτά τα...
Read More » -
11 FebruaryΥΓΕΙΑ
Καρκίνος του στόματος: Προσοχή στα «αθώα» συμπτώματα
Ο καρκίνος του στόματος εμφανίζεται ως μια πληγή στο στόμα που εξαπλώνεται στα χείλη, στη γλώσσα , στα μάγουλα, στα ιγμόρεια και στο φάρυγγα (λαιμό).Αν δεν διαγνωστεί και δεν αντιμετωπιστεί έγκαιρα, ο...
Read More » -
11 FebruaryΥΓΕΙΑ
Ρευματοειδής αρθρίτιδα: Αυτές είναι οι 33 τροφές που μειώνουν τον πόνο
Μια μεγάλη ανασκόπηση σε επιμέρους έρευνες, που δημοσιεύθηκε στο επιστημονικό περιοδικό Frontiers in Nutrition, απαριθμεί εκείνες τις τροφές που έχει αποδειχθεί ότι ανακουφίζουν τα συμπτώματα της ρευμ...
Read More » -
11 FebruaryΥΓΕΙΑ
Άσχημα νέα για όσους καπνίζουν με χρήση IQOS
Μπορεί οι βλαβερές ουσίες του χαρτιού να είναι περιορισμένες, όμως και όσοι καπνίζουν κάνοντας χρήση συσκευής θέρμανσης του καπνού, τις γνωστές IQOS δηλαδή, θα πρέπει να γνωρίζουν ότι έχ...
Read More »